Telefon: +36 1 489-52-00 | E-mail: info@bhc.hu

Magánkórházi szolgáltatások

Szájüreg, garat vagy gége beningus tumor eltávolítása

A szájüregben és garatban előforduló leggyakoribb jóindulatú daganatok (és daganatszerű elváltozások) közé az alábbiak tartoznak:

- Papillóma (laphám papillóma) – gyakran HPV-asszociált, szemölcsszerű, exophyticus növedék.

Szájüreg, garat vagy gége beningus tumor eltávolítása
HPV asszociált papillóma a szájüregben

- Fibroma / irritációs fibroma (fokális fibrosus hyperplasia) – a leggyakoribb „jóindulatú csomó”, többnyire krónikus mechanikai irritáció (harapás, fogszél) talaján.

Szájüreg, garat vagy gége beningus tumor eltávolítása
Szájüregi fibroma

- Mucocele (nyálretenciós/nyálkifolyási cysta) és ranula – kisnyálmirigyek/nyálmirigyek kivezetőcső-problémái; főleg ajkon, szájfenéken fordulnak elő.

Szájüreg, garat vagy gége beningus tumor eltávolítása
Nyálretenciós cysta a szájfenéken

- Hemangioma és egyéb éreredetű elváltozások (pl. venosus malformatio, varix) – kékes-lilás, nyomásra változó képlet.

Szájüreg, garat vagy gége beningus tumor eltávolítása
Szájüregi hemangioma

- Lipóma – puha, sárgás, lassan növekvő csomó.

- Pyogén granulóma (lobularis capillaris hemangioma) – gyorsan növő, vérzékeny, gyakran az ínyen jelenik meg, gyakran irritációt okoz.

- Perifériás óriássejtes granulóma és perifériás osszifikáló fibroma – íny/gingiva környéki, reaktív jellegű, jóindulatú képletek.

- Pleomorph adenoma (kevert tumor) – a leggyakoribb jóindulatú nyálmirigy-daganat, főleg kisnyálmirigyekben (pl. szájpad).

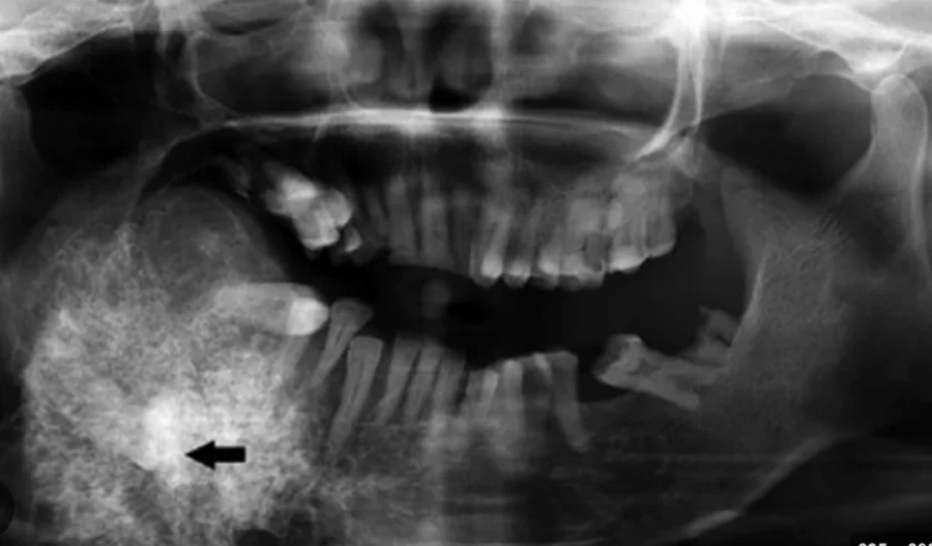
- Odontogén jóindulatú daganatok (állcsontokban): pl. ameloblastoma, odontoma (fogeredetű, gyakran röntgenen derül ki).

Szájüreg, garat vagy gége beningus tumor eltávolítása
Odontogen tumor az állkapocs csontban

“Megnyugtatóbb” elváltozások (amik ettől még igényelhetnek beavatkozást):

- Jól körülhatárolt, lassan változó, puha/elasztikus csomó, ami egyértelműen harapás/irritáció helyén van (pl. irritációs fibroma).

- Fájdalmas, rövid lefolyású afta-szerű fekély, ami 7–14 nap alatt gyógyul.

- Kékes-lilás, nyomásra elhalványuló éreredetű képlet (pl. varix) – ettől még ellenőrzés javasolt, ha nő vagy vérzik.

A gégében (larynx) előforduló leggyakoribb benignus elváltozások közé tartoznak az alábbiak:

1. Polipok: Ezek a kóros szövetnövekedések a gége nyálkahártyáján alakulhatnak ki, gyakran a túlzott hanghasználat, irritáció vagy gyulladás következtében.

Szájüreg, garat vagy gége beningus tumor eltávolítása
Hangszalag polip

2. Énekes csomók: Kétoldali énekszálcsomók, más néven "színpadi csomók", a gége hangszálain megjelenő jóindulatú elváltozások, melyek a hanghasználat során alakulnak ki.

Szájüreg, garat vagy gége beningus tumor eltávolítása
Énekes csomók a hangszalagokon

3. Fibróma: Ez a kötőszövetből származó jóindulatú daganat a gégében is előfordulhat, és általában lassan növekszik.

4. Papillómák: Ezek a vírusos eredetű elváltozások, különösen a humán papillomavírus (HPV) által okozottan, a gégében is megjelenhetnek.

Szájüreg, garat vagy gége beningus tumor eltávolítása
Gége papilloma

5. Granulómák: Gyulladásos reakciók következtében alakulhatnak ki, általában irritáció vagy trauma hatására.

Szájüreg, garat vagy gége beningus tumor eltávolítása
Kontakt granulóma a gégében

6. Cysta: A gége nyálkahártyájában kialakuló jóindulatú, folyadékkal teli tasakok, amelyek szintén okozhatnak hangproblémákat.

Szájüreg, garat vagy gége beningus tumor eltávolítása
Hangszalag cysta

Ezek az elváltozások általában kezelhetők, de fontos a szakmai diagnózis és a megfelelő kezelés, ha tünetek jelentkeznek.

Milyen esetben indokolt a szájüreg, garat vagy gége benignus tumor eltávolítása?

Az alábbi jelek esetén a szájüregi és garati képletet mielőbb fogorvosnak/szájsebésznek/fül-orr-gégésznek érdemes megmutatni, mert rosszindulatú folyamat vagy súlyosabb kórkép lehetősége is felmerül, illetve szövettani mintavétel (biopszia) válhat szükségessé.

“Vörös zászlók” – amikor nem érdemes várni:

1. 2–3 hétnél tovább fennálló elváltozás, ami nem gyógyul (főleg, ha nincs egyértelmű traumás ok, pl. harapás).

2. Fekély (ulcus), különösen, ha:

   - kemény tapintatú (indurált) szélű, 

   - fájdalmatlan vagy aránytalanul kevéssé fáj,

   - spontán/ismétlődően vérzik.

3. Gyors növekedés (napok–hetek alatt látványos méretnövekedés).

4. Vörös folt (erythroplakia) vagy vörös-fehér folt (erythroleukoplakia) – ezek kockázatosabbak, mint a csak fehér plakk.

5. Fehér plakk (leukoplakia), ami:

   - nem törölhető le (nem gomba),

   - nem szűnik irritáció megszüntetésére,

   - a szájfenéken, nyelv szélén/alsó felszínén van (kockázatos helyek).

6. Nyelvmozgási zavar, beszéd- vagy nyelési nehezítettség (dysphagia), állkapocsnyitási nehezítettség (trismus).

7. Zsibbadás/érzéskiesés (ajak, nyelv, áll területe) – idegérintettség gyanúja.

8. Fogak megmagyarázhatatlan mozgathatósága, nem illeszkedő fogsor/protézis „hirtelen rossz lett”.

9. Tartós, féloldali fülfájás szájüregi panasszal társulva (kisugárzó fájdalom).

10. Nyaki nyirokcsomó-duzzanat, ami >2–3 hétig fennáll, kemény, rögzült vagy növekszik.

11. Szájpad/állcsont duzzanat, ami kemény, terjed, vagy röntgenen csontdestrukció jele van.

12. Kiemelt rizikó: dohányzás, rendszeres alkohol, HPV-kitettség, korábbi fej-nyaki daganat, immunszupresszió.
 

A benignus gégedaganatok eltávolítása különböző tényezőktől függ, és a döntést mindig orvosszakértőnek kell meghoznia. Általában az alábbi helyzetekben érdemes mérlegelni a daganat eltávolítását:

1. Tünetek: Ha a daganat légzési nehézséget, fokozott hangszál-fáradtságot, tartós rekedtséget vagy egyéb problémákat okoz.

2. Növekedés: Ha a daganat mérete jelentősen nő, vagy ha gyorsan változik, orvosi beavatkozásra lehet szükség.

3. Diagnózis: Ha a szövettani vizsgálat azt mutatja, hogy bár a daganat jóindulatú, potenciálisan problémássá válhat a jövőben.

4. Esztétikai okok: Ha a daganat megjelenése esztétikai problémákat okoz, különösen ha a páciens jelzi ezt – pl.  laryngeális cysta.

Milyen más kezelési lehetőségek léteznek?

A benignus szájüregi, garat vagy gégeelváltozások az életet nem veszélyeztetik. Extrém méretű gégedaganatok légzési nehézséget okozhatnak. A műtéti eltávolítás azért fontos mert egyértelműen tisztázza az elváltozás szövettani természetét, így premalignus állapotok későbbi rosszindulatúvá válását megelőzhetjük. Gyógyszeres kezelés nem váltja ki a műtéti eltávolítást.

Hogyan zajlik a szájüreg, garat vagy gége benignus tumor műtéti eltávolítása?

A benignus szájüregi, garat vagy gégedaganatok kezelése általában műtéti úton történik, különösen, ha a daganat tüneteket okoz vagy estleg növekedik. A kezelési lehetőségek a következők lehetnek:

1. Excisió (kimetszés): A daganat teljes eltávolítása a szövetekkel együtt. Ez a leggyakoribb megközelítés a benignus daganatok esetén. Elvégezhető a mandulaműtét feltárásából vagy direkt laryngoscopia során.

2. Laparoszkópos vagy endoszkópos technikák: Ezek a minimál invazív sebészeti módszerek lehetővé teszik a daganatok eltávolítását anélkül, hogy nagy metszéseket kellene végezni. Az endoszkópos eltávolítás különösen hasznos lehet a garat és gége daganatoknál.

3. Cryoterápia: A daganat fagyasztásával végzett kezelési módszer, amely a daganatos sejtek elpusztítására szolgál.

4. Lézeres terápia: Lézer segítségével végzett műtét, amely precízen eltávolítja a daganatot, minimális szöveti károsodással, vérzésmentesen..

5. Radiofrekvenciás módszer: Radiofrekvenciás hurokkal vagy tűvel a gége a garat és a szájüreg tumorai is gyorsan, vérzésmentesen eltávolíthatók.

A kezelési lehetőségek kiválasztása a daganat típusától, helyétől, méretétől, valamint a beteg általános egészségi állapotától függ.

Ismerje meg filmünkből magánkórházi osztályunk betegbiztonságának legfőbb garanciáját, az intenzívterápiás osztályt és high-tech műtői környezetünket!


Tudjon meg mindent cikkünkből modern, organikusan fejlődő magánkórházi részlegünkről!
 

Érdeklődés esetén kérjük, küldjön levelet a magankorhaz@bhc.hu címre!